
CIOSM
CIOSM
Contatti
Via Milano 24 Roma (RM) | info@ciosm.it | +390612345678
Orari
Orari
Lunedì / Venerdì 10 - 18 | Sabato 10 - 16
CIOSM
Club Italiano Oncologia del Sistema Muscolo - Scheletrico
CIOSM, Club Italiano di Oncologia del Sistema Muscolo - Scheletrico intitolato a Mario Campanacci, uno dei padri internazionali dell'Ortopedia Oncologica.
CIOSM: La rinascita di una società storica
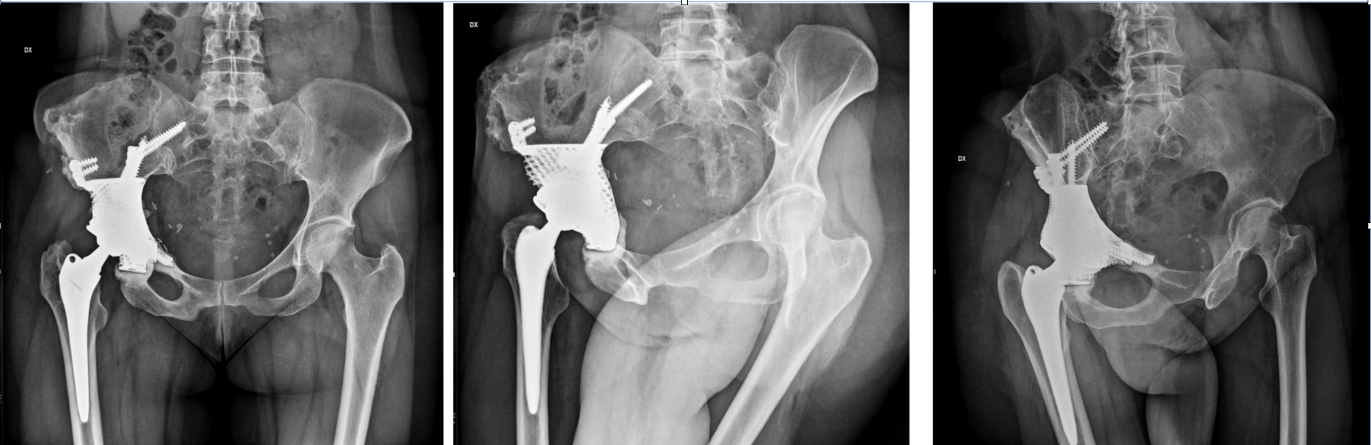
La gallery di CIOSM mostra i nostri servizi e le soluzioni innovative per ogni cliente.
Iscriviti alla newsletter
Iscriviti alla newsletter e rimani aggiornato su tutte le novità